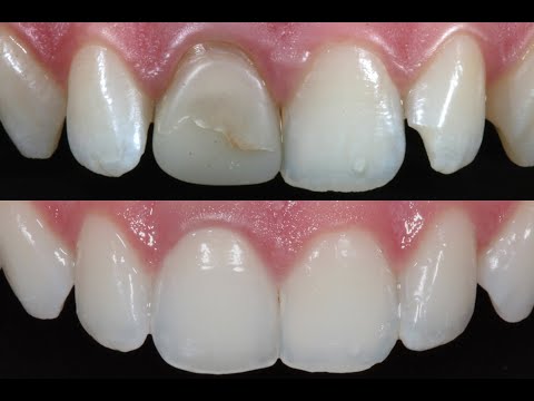
Broken tooth. Reattachment of fragment.
Dr Andre Reis
Broken tooth. Reattachment of fragment.
0:25
Improved/enhanced smiles
Dr Andre Reis
Improved/enhanced smiles
0:30
Porcelain veneers for a beautiful smile
Dr Andre Reis
Porcelain veneers for a beautiful smile
0:31
Tooth fractured? Reattach it.
Dr Andre Reis
Tooth fractured? Reattach it.
1:37
Reattachment of fractured teeth. #dentist #dentaltrauma #toothfracture
Dr Andre Reis
Reattachment of fractured teeth. #dentist #dentaltrauma #toothfracture
0:42
Reattachment of tooth fragment
Dr Andre Reis
Reattachment of tooth fragment
0:42
Rejuvenated smile 😃
Dr Andre Reis
Rejuvenated smile 😃
0:37
Better/brighter smile
Dr Andre Reis
Better/brighter smile
1:59
Ultraconservative veneers
Dr Andre Reis
Ultraconservative veneers
1:39
Dr Andre Reis Live Stream
Dr Andre Reis
Dr Andre Reis Live Stream
Resin composite restoration of a large Class I cavity
Dr Andre Reis
Resin composite restoration of a large Class I cavity
1:00
Adhesive cementation of ceramic veneers
Dr Andre Reis
Adhesive cementation of ceramic veneers
2:32
Indirect Pulp Capping
Dr Andre Reis
Indirect Pulp Capping
3:09
Direct Pulp Capping
Dr Andre Reis
Direct Pulp Capping
2:16
1-step Impression for Porcelain Veneers
Dr Andre Reis
1-step Impression for Porcelain Veneers
1:01
Core&Post
Dr Andre Reis
Core&Post
1:01
1-min Endo-Resto. Direct Restoration after root canal treatment.
Dr Andre Reis
1-min Endo-Resto. Direct Restoration after root canal treatment.
0:58
Endo-Resto Class II by Andre Reis
Dr Andre Reis
Endo-Resto Class II by Andre Reis
3:05
Dr Andre Reis @ LOOKER News!
Dr Andre Reis
Dr Andre Reis @ LOOKER News!
1:09
Class II Andre Reis
Dr Andre Reis
Class II Andre Reis
1:00
Implant supported provisional
Dr Andre Reis
Implant supported provisional
2:13
PALODENT V3 Dr Andre Reis and Dr Walter Dias
Dr Andre Reis
PALODENT V3 Dr Andre Reis and Dr Walter Dias
2:02
Dr Andre Reis @ EBC News Taiwan
Dr Andre Reis
Dr Andre Reis @ EBC News Taiwan
0:46
Easy obtention of a tight contact point using Palodent V3 + SDR. By Dr. Andre Reis
Dr Andre Reis
Easy obtention of a tight contact point using Palodent V3 + SDR. By Dr. Andre Reis
2:36
Step-by-step technique for restoration of a Class I cavity
Dr Andre Reis
Step-by-step technique for restoration of a Class I cavity
2:09